当院で治療した患者さまです。画像をクリックすると治療前後の状態が見られます。

当院における一般的な治療期間は1年半〜2年間です(治療回数は18回〜24回)。

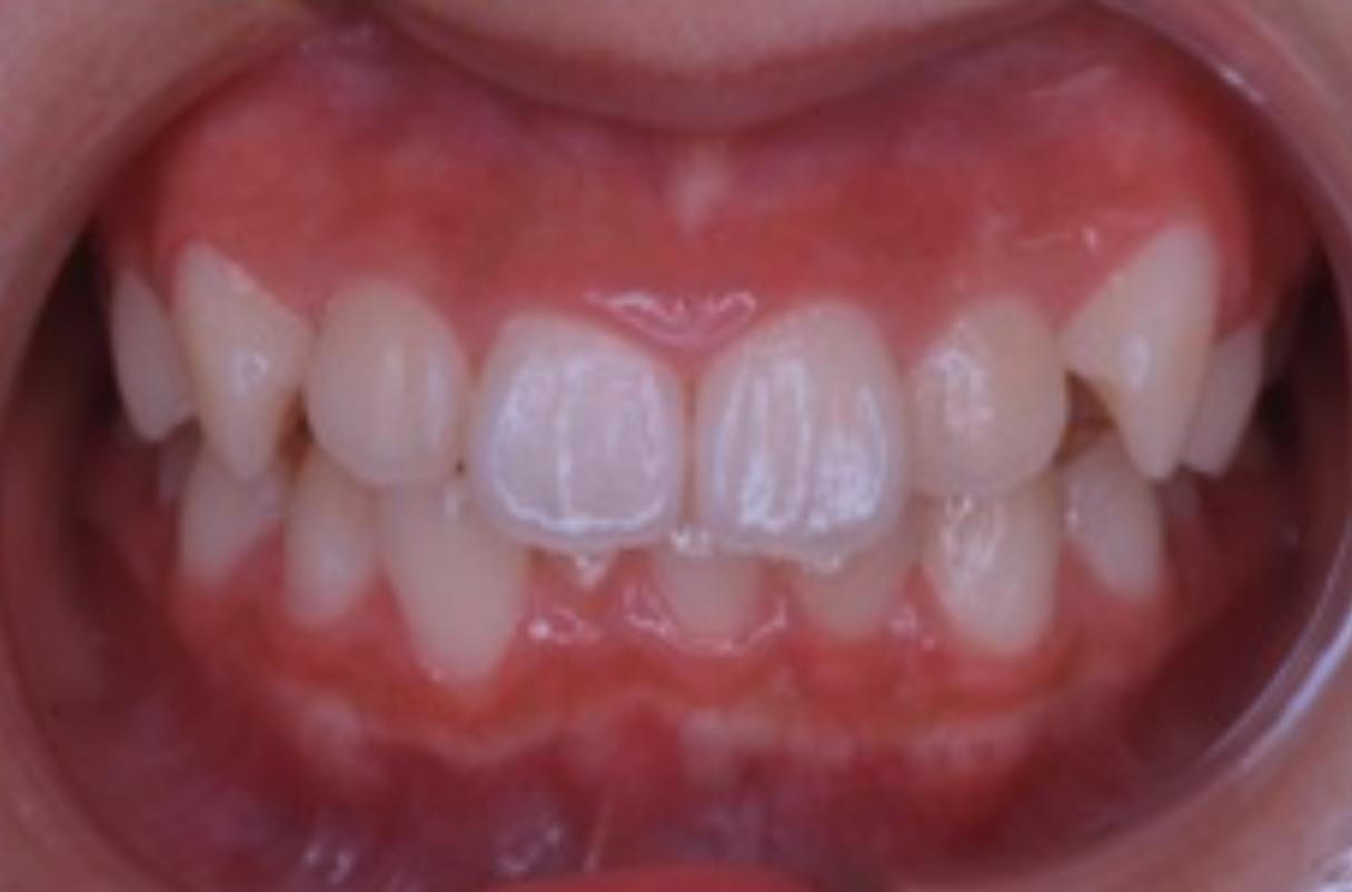
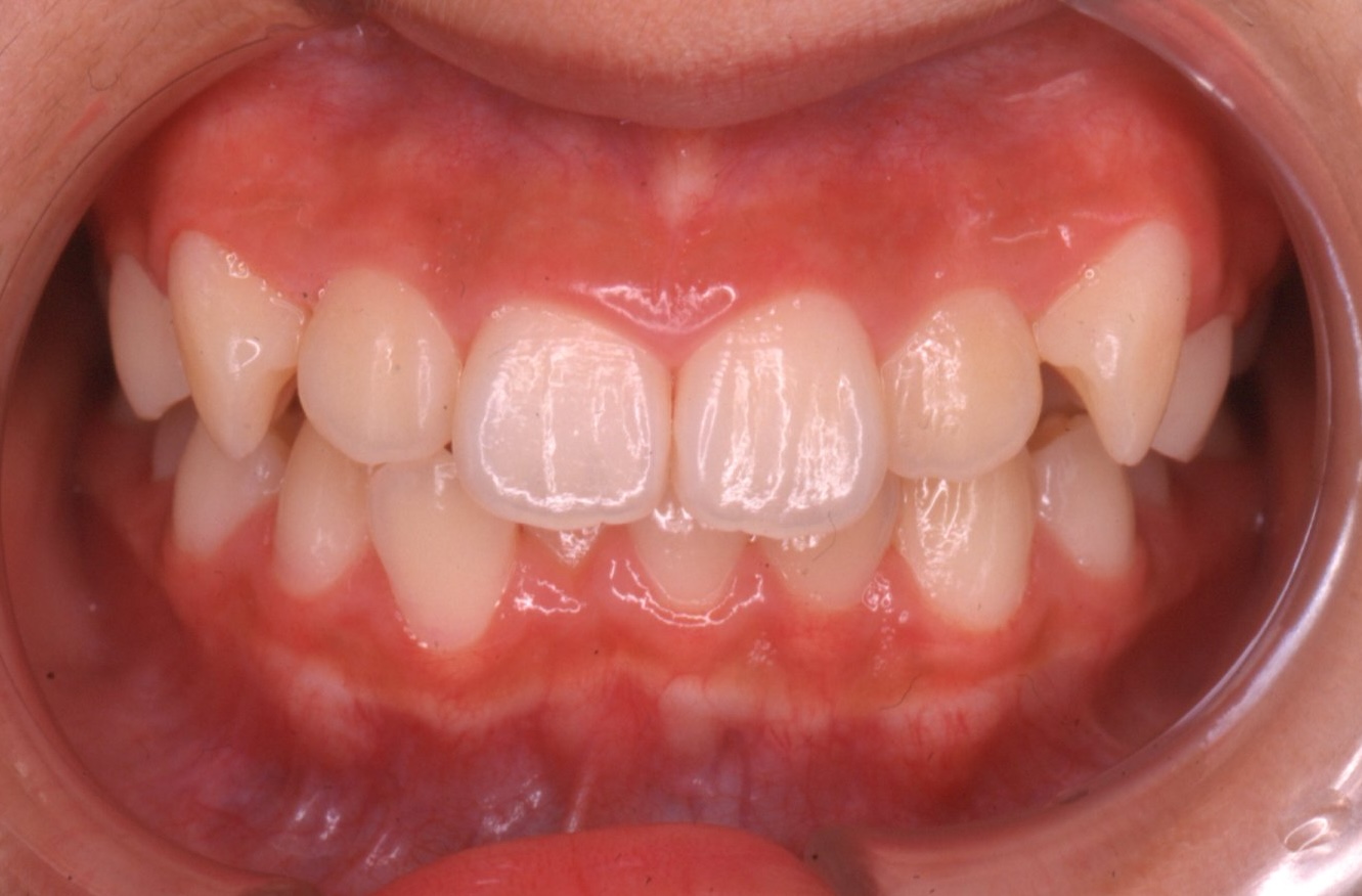
症例1 叢生(重度)

     そうせい

症例2 叢生(中等度)

    そうせい

症例3 上顎前突

    じょうがくぜんとつ

症例4 下顎前突

    かがくぜんとつ

症例5 上下顎前突

    じょうかがくぜんとつ

症例6 開咬

    かいこう

症例7 二期治療

   にきちりょう

症例8 顎変形症1

   がくへんけいしょう1

症例9 顎変形症2

  がくへんけいしょう2

   がくへんけいしょう2