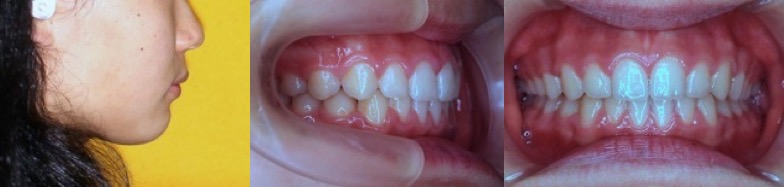
前歯と口唇が前突していました。非抜歯で行うとさらに前突します。上下左右合計4本の小臼歯を抜歯して矯正治療を行いました。
*当院の特徴:保定は2年間を予定しています。その後も継続を希望する場合は、1年に1・2回、定期に受診して保定管理を続けることも可能です。
初診時年齢:12歳0か月
主訴:歯並び
診断:歯と顎の大きさの不一致による叢生
治療:上下顎小臼歯抜歯による歯列・咬合の改善
矯正装置:マルチブラケット装置+顎内固定装置
治療期間:17か月
初回検査から保定終了までにかかる矯正料金の総額:約80万円

初診時写真 12歳0か月

治療終了時写真 13歳7か月

21年後写真 35歳
