下顎骨切り術(SSRO)とオトガイ形成術を行った治療例です。
第一大臼歯の欠損部閉鎖とカント調整のため、術後矯正治療期間は少し長くかかりました。
手術を含む治療の流れがわかるように、段階的に写真を掲載させていただきました。
*当院の特徴:術前矯正が長くならないように、早い時期に手術予約を確保しています。また、顔貌のバランスを整えることに重点を置いてプランニングしています。
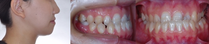
治療開始年齢:21歳6か月
診断:下顎前突
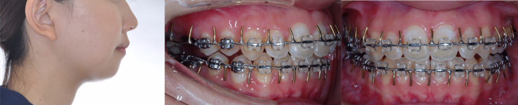
治療:下顎骨切り術とオトガイ形成術(手術は手稲渓仁会病院口腔外科)
矯正装置:マルチブラケット装置
術前矯正8か月、手術・入院10日間、術後矯正12か月=合計20か月
矯正料金の総額:健康保険3割負担で約30万円 外科の費用は別途

術前矯正治療開始時 21歳6カ月

下顎骨切り手術後9日 22歳2カ月 退院時は顎間固定用のフックが付いています。1カ月後にはプレーンなワイヤーに交換します。

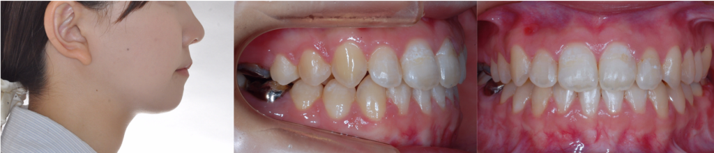
術後矯正治療終了時(ブラケット撤去) 23歳2カ月

骨固定用チタンプレート除去とオトガイ形成術同時施行、ホワイトニング施行(自費) 23歳6カ月
